-
Courses
Courses
Choosing a course is one of the most important decisions you'll ever make! View our courses and see what our students and lecturers have to say about the courses you are interested in at the links below.
-
University Life
University Life
Each year more than 4,000 choose University of Galway as their University of choice. Find out what life at University of Galway is all about here.
-
About University of Galway
About University of Galway
Since 1845, University of Galway has been sharing the highest quality teaching and research with Ireland and the world. Find out what makes our University so special – from our distinguished history to the latest news and campus developments.
-
Colleges & Schools
Colleges & Schools
University of Galway has earned international recognition as a research-led university with a commitment to top quality teaching across a range of key areas of expertise.
-
Research & Innovation
Research & Innovation
University of Galway’s vibrant research community take on some of the most pressing challenges of our times.
-
Business & Industry
Guiding Breakthrough Research at University of Galway
We explore and facilitate commercial opportunities for the research community at University of Galway, as well as facilitating industry partnership.
-
Alumni & Friends
Alumni & Friends
There are 128,000 University of Galway alumni worldwide. Stay connected to your alumni community! Join our social networks and update your details online.
-
Community Engagement
Community Engagement
At University of Galway, we believe that the best learning takes place when you apply what you learn in a real world context. That's why many of our courses include work placements or community projects.
Multidisciplinary Radiology (MSc/PDip)
MSc/PDip (Multidisciplinary Radiology)
College of Medicine, Nursing & Health Sciences, School of Medicine- Title of Award
- Master of Science / Postgraduate Diploma
- Course Code
- MSC-MRY; PGD-MRY
- Average Intake
- 18-24
- Delivery
- Online
- NFQ
- Level 9
- Next Intake
- September 2026
- Duration
- 1 year, full-time / 2 years, part-time
- ECTS Weighting
- 90 / 60
Why Choose This Course?
Course Information
Who is this course for?
This programme is designed for clinicians who rely on imaging for decision-making, for whom a radiology qualification may offer new career progression routes, or for those who wish to further their individual knowledge, skills and research capabilities in the discipline of Radiology. The majority of graduates successfully entered national radiology training programmes in Ireland and the United Kingdom. Others used the programme to upskill either in specific areas (musculoskeletal, for instance) or to further their research careers in other disciplines. The experience and knowledge gained through this course also lends itself to specialities with high dependence on radiological imaging.
The core of the programme is a comprehensive study of radiological imaging across all areas of the body, giving clinicians a deep understanding of imaging in clinical decision-making.
Building on this foundation, the curriculum explores cutting-edge developments in radiology, including:
- Advanced diagnostic techniques
- Interventional radiology
- Artificial intelligence in imaging
- Research methods for evidence-based practice
Curriculum Information
Curriculum information relates to the current academic year (in most cases).Course and module offerings and details may be subject to change.
Glossary of Terms
- Credits
- You must earn a defined number of credits (aka ECTS) to complete each year of your course. You do this by taking all of its required modules as well as the correct number of optional modules to obtain that year's total number of credits.
- Module
- An examinable portion of a subject or course, for which you attend lectures and/or tutorials and carry out assignments. E.g. Algebra and Calculus could be modules within the subject Mathematics. Each module has a unique module code eg. MA140.
- Optional
- A module you may choose to study.
- Required
- A module that you must study if you choose this course (or subject).
- Semester
- Most courses have 2 semesters (aka terms) per year.
Year 1 (90 Credits)
RequiredMD1562: Research Methods for Evidence Based Practice
MD1562: Research Methods for Evidence Based Practice
Semester 1 and Semester 2 | Credits: 10
This module will guide the learner through the scientific research process and the use of evidence based practice in clinical settings.
(Language of instruction: English)
Learning Outcomes
- Differentiate between different theories of research and the language of research
- Recognise the importance and principles of evidence based practice
- Demonstrate an ability to perform competent electronic database and internet searches to formulate a literature review
- Explain the role of research methods and differentiate between different types of research design
- Formulate a research question and conceptualise a research project
- Design, prepare, and submit a research proposal for ethical approval
Assessments
- Continuous Assessment (100%)
Teachers & Administrators
Click a name to search for their researcher profile. Note: Only teachers publish research profiles.
The above information outlines module MD1562: "Research Methods for Evidence Based Practice" and is valid from 2023 onwards.Note: Module offerings and details may be subject to change.
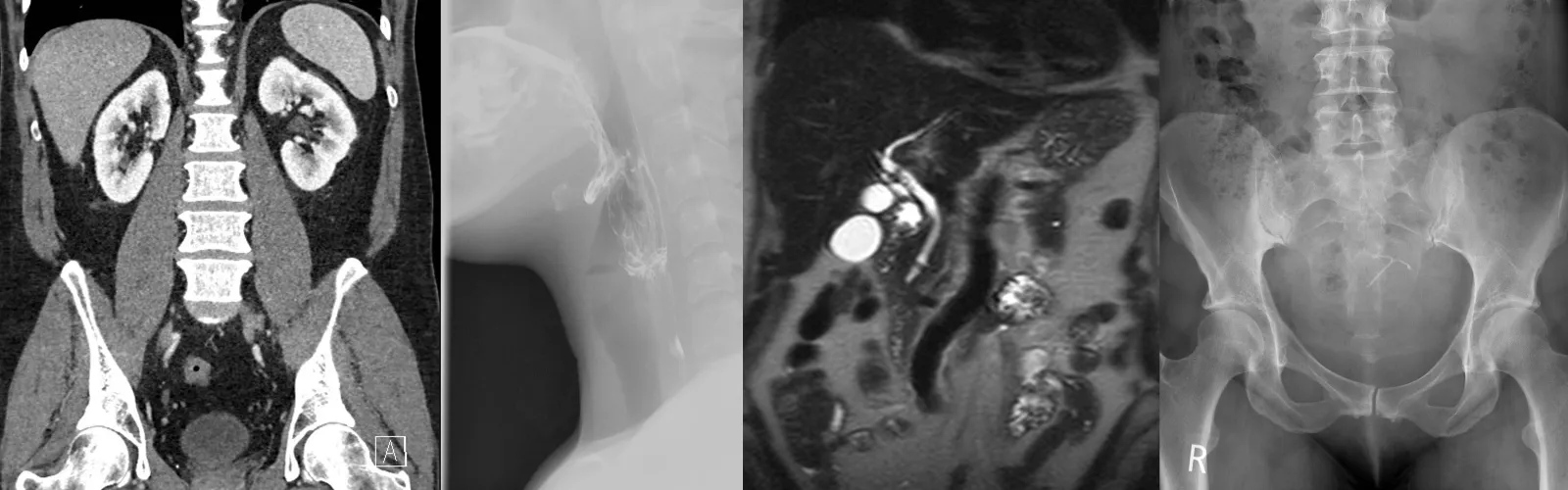
RequiredMD1560: Genitourinary and Gastrointestinal Imaging
MD1560: Genitourinary and Gastrointestinal Imaging
Semester 1 | Credits: 10
(Language of instruction: English)
Learning Outcomes
- To have an understanding of the main radiological techniques employed in Gastrointestinal and Genitourinary imaging as well as their common indications, contradictions, limitations and diagnostic value
- Recognize the appearance of normal anatomy and common pathology on images of Gastrointestinal and Genitourinary systems to facilitate diagnostic accuracy and appropriate intervention strategies.
- Determine the most appropriate Gastrointestinal and Genitourinary imaging procedure according to the patient presentation and the current best evidence for diagnosis.
- Determine the most appropriate radiographic views according to patient presentation, current best evidence for diagnosis, and current best evidence for reducing ionizing radiation exposure.
- Gain practice with accessing the radiology literature and using online radiologic resources related to the Gastrointestinal and Genitourinary systems.
- To communicate the benefits, risk and basic technical aspects of medical imaging associated with the Gastrointestinal and Genitourinary systems.
Assessments
- Department-based Assessment (100%)
Teachers & Administrators
Click a name to search for their researcher profile. Note: Only teachers publish research profiles.
The above information outlines module MD1560: "Genitourinary and Gastrointestinal Imaging" and is valid from 2023 onwards.Note: Module offerings and details may be subject to change.
RequiredMD6109: Dissertation
MD6109: Dissertation
15 months long | Credits: 30
The aim of this module is to provide the learner with experience, skills and techniques to conduct original and publishable scientific research in radiology in their chosen topic.
(Language of instruction: English)
Learning Outcomes
- Develop an idea for an original research project based on knowledge of the existing published literature in the discipline of Radiology.
- Produce a comprehensive research proposal.
- Address issues of research design, methodology, ethics and theoretical arguments, in consultation with an academic supervisor and apply these to your own research.
- Develop skills in independent inquiry.
- Discuss and explain the significance of the results obtained with reference to the extant literature.
- Demonstrate an ability to perform a thorough literature review using pertinent sources
- Demonstrate competence in scientific communication by communicating their research aims, methods and findings through appropriate written, verbal and visual means.
- Complete a structured, referenced dissertation.
Assessments
- Continuous Assessment (10%)
- Oral, Audio Visual or Practical Assessment (20%)
- Research (70%)
Teachers & Administrators
Click a name to search for their researcher profile. Note: Only teachers publish research profiles.
The above information outlines module MD6109: "Dissertation" and is valid from 2023 onwards.Note: Module offerings and details may be subject to change.
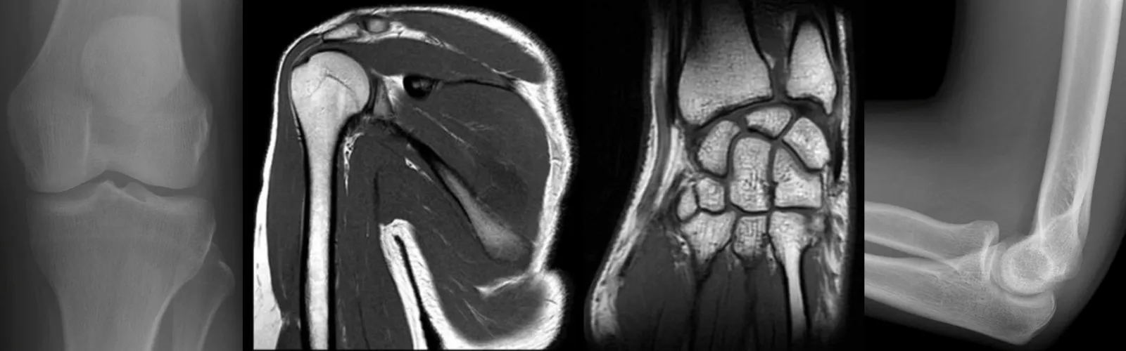
RequiredMD6105: Muscloskeletal (MSK) System Imaging
MD6105: Muscloskeletal (MSK) System Imaging
Semester 1 | Credits: 10
This module will firstly provide students with an overview of imaging modalities and interpretation of normal Musculoskeletal Imaging. It will impart an in-depth systematic understanding of the radiological aspects of the musculoskeletal system. Upon completion the student will have a critical understanding of the key concepts underlying advanced musculoskeletal imaging and diagnosis. Topics include: Trauma imaging and management, Sports Injuries: Physiotherapy Approach and Management, Ankle and foot surgery, Pediatric Musculoskeletal imaging, Nuclear Medicine Imaging in Musculoskeletal disorders, disorders, Imaging of Bone Marrow Disease, DEXA and Osteoporosis, Rheumatology, and Musculoskeletal ultrasound.
(Language of instruction: English)
Learning Outcomes
- To have an understanding of the main radiological techniques employed in musculoskeletal imaging as well as their common indications, contradictions, limitations and diagnostic value.
- To recognise the normal and variant radiological anatomical features of the musculoskeletal system on medical images.
- Recognize the appearance of normal anatomy and common pathology on musculoskeletal images to facilitate diagnostic accuracy and appropriate intervention strategies.
- Determine the most appropriate musculoskeletal imaging procedure according to the patient presentation and the current best evidence for diagnosis.
- Determine the most appropriate radiographic views according to patient presentation, current best evidence for diagnosis, and current best evidence for reducing ionizing radiation exposure.
- To communicate the benefits, risk and basic technical aspects of medical imaging associated with the musculoskeletal system.
- Gain practice with accessing the radiology literature and using online radiologic resources related to the musculoskeletal system.
Assessments
- Department-based Assessment (100%)
Teachers & Administrators
Click a name to search for their researcher profile. Note: Only teachers publish research profiles.
The above information outlines module MD6105: "Muscloskeletal (MSK) System Imaging" and is valid from 2023 onwards.Note: Module offerings and details may be subject to change.
RequiredMD6101: Introduction to Basic Radiologic Sciences
MD6101: Introduction to Basic Radiologic Sciences
Semester 1 and Semester 2 | Credits: 10
This module is designed to build upon student’s foundational knowledge of anatomy and physics and will provide a broad multidisciplinary approach to medical imaging. Students will learn advanced radiological physics through several modalities including Magnetic Resonance Imaging, Computed Topography, X-Ray, Fluoroscopy, Nuclear Medicine, and Ultrasound. The module will provide the student with advanced anatomical knowledge in major body systems, including the cardiovascular, respiratory, gastrointestinal, genitourinary, neuroanatomical and musculoskeletal systems to enable reading, understanding and interpretation of radiological images. It will explore the applications and integration of anatomical knowledge with radiological imaging.
(Language of instruction: English)
Learning Outcomes
- Demonstrate an advanced understanding of physics as applied to modern imaging modalities
- Demonstrate a systematic knowledge and understanding of the principles of working with the different imaging modalities used in modern medical practice.
- Reinforce and expand on anatomical knowledge as it pertains to the structures commonly evaluated in medical imaging.
- Translate and integrate knowledge of gross anatomy and neuroanatomy to radiological images
- Display a detailed knowledge of cross sectional anatomy and apply this knowledge to radiological imaging
- Demonstrate an understanding of how different imaging modalities display normal anatomical features
- Recognise the major features, surface landmarks and demonstrate an understanding of the palpable and radiological imaging landmarks.
- Be able to identify and answer questions about anatomical structures of the cardiovascular, respiratory, gastrointestinal, and genitourinary systems on cadavers, prosected specimens, and radiological images
- Understand the functional anatomy of the cardiovascular, respiratory, gastrointestinal, and genitourinary systems and and demonstrate the ability to integrate, extend and critically analyse that knowledge.
- Gain practice with accessing the radiology literature and using online radiologic resources
- Learn basic mechanisms of image generation and imaging safety
Assessments
- Department-based Assessment (100%)
Teachers & Administrators
Click a name to search for their researcher profile. Note: Only teachers publish research profiles.
The above information outlines module MD6101: "Introduction to Basic Radiologic Sciences" and is valid from 2023 onwards.Note: Module offerings and details may be subject to change.
RequiredMD1561: Chest, Cardiovascular and Breast Imaging
MD1561: Chest, Cardiovascular and Breast Imaging
Semester 2 | Credits: 10
This module will firstly provide students with an overview of imaging modalities and interpretation of normal Chest, Cardiovascular and Breast imaging. Lectures on advanced topics related to Chest and Cardiovascular disease will be provided primarily by leading consultants working in the University Hospital Galway. Topics include: Lung Cancer diagnosis, staging and surgical, radiotherapy and chemotherapy treatments, Interstitial lung disease, Cystic Fibrosis, Cardiac Computed topography, peripheral vascular disease and Aortic dissection. The breast imaging lectures/tutorials of this module are taught by clinical staff from BreastCheck and will cover topics including: Breast Screening, Breast Cancer multidisciplinary team and Surgical and Systemic treatment and Radiotherapy of breast cancer.
(Language of instruction: English)
Learning Outcomes
- To have an understanding of the main radiological techniques employed in Chest, Cardiovascular and Breast imaging as well as their common indications, contradictions, limitations and diagnostic value.
- Recognize the appearance of normal anatomy and common pathology of the chest, breast and cardiovascular system to facilitate diagnostic accuracy and appropriate intervention strategies.
- To communicate the benefits, risk and basic technical aspects of medical imaging associated with the chest, breast and cardiovascular system.
- Gain practice with accessing the radiology literature and using online radiologic resources related to chest, breast and cardiovascular image.
- Determine the most appropriate chest, breast and cardiovascular system imaging procedure according to the patient presentation and the current best evidence for diagnosis.
- Determine the most appropriate radiographic views according to patient presentation, current best evidence for diagnosis, and current best evidence for reducing ionizing radiation exposure.
Assessments
- Department-based Assessment (100%)
Teachers & Administrators
Click a name to search for their researcher profile. Note: Only teachers publish research profiles.
The above information outlines module MD1561: "Chest, Cardiovascular and Breast Imaging" and is valid from 2024 onwards.Note: Module offerings and details may be subject to change.
RequiredMD6106: Central Nervous System (CNS) and Head & Neck (H&N)
MD6106: Central Nervous System (CNS) and Head & Neck (H&N)
Semester 2 | Credits: 10
This module will firstly provide students with an overview of imaging modalities and interpretation of normal Central Nervous System and Head & Neck imaging. Specilaist topics will include: Dental radiology, White matter disease, Acute clinical presentation of stroke, Stroke management, Imaging of haemorrhage, Clinical neuroimaging in psychiatry, Imaging and inflammatory disease of the ears and skull base, Paranasal sinus disease, Radiation therapy in brain and head and neck cancers, Spinal cord trauma and Radiation therapy in spinal cord compression.
(Language of instruction: English)
Learning Outcomes
- To have an understanding of the main radiological techniques employed for Central Nervous System and Head & Neck imaging as well as their common indications, contradictions, limitations and diagnostic value.
- To recognise the normal and variant radiological anatomical features of the Central Nervous System and Head & Neck on medical images.
- Recognize the appearance of normal anatomy and common pathology of the Central Nervous System and Head & Neck to facilitate diagnostic accuracy and appropriate intervention strategies.
- To communicate the benefits, risk and basic technical aspects of medical imaging associated Central Nervous System and Head & Neck.
- Determine the most appropriate Central Nervous System and Head & Neck imaging procedure according to the patient presentation and the current best evidence for diagnosis.
- Determine the most appropriate radiographic views according to patient presentation, current best evidence for diagnosis, and current best evidence for reducing ionizing radiation exposure.
- Gain practice with accessing the radiology literature and using online radiologic resources related to Central Nervous System and Head & Neck.
Assessments
- Department-based Assessment (100%)
Teachers & Administrators
Click a name to search for their researcher profile. Note: Only teachers publish research profiles.
The above information outlines module MD6106: "Central Nervous System (CNS) and Head & Neck (H&N)" and is valid from 2023 onwards.Note: Module offerings and details may be subject to change.
- Expert-led learning: Instruction from experienced clinicians in multiple specialties and leading academics, offering unique insights into radiology’s central role in multidisciplinary care.
- Flexible distance-learning model: live online lectures, supported by asynchronous online learning content, assignments, self-directed study, and interactive on-campus sessions—This integrated approach provides a breadth and depth, ensuring graduates are equipped with advanced knowledge and skills for modern radiological practice.
- Research-driven: strong emphasis on research skills, preparing graduates to contribute to evidence-based medicine.
Graduates of the MSc and PG. Dip in Multidisciplinary Radiology are equipped with advanced knowledge and research skills that enhance clinical decision-making and open new professional pathways. Opportunities include:
- Specialist Training Schemes - a strong foundation for those pursuing competitive training in Radiology or Radiation Oncology.
- Enhanced clinical practice - apply advanced imaging knowledge to improve diagnosis and patient management within your specialty.
- Research and academia - lead or collaborate on clinical research, publish in peer-reviewed journals, and contribute to medical education.
- Career progression within specialties - broaden advancement opportunities in fields where imaging is central, such as oncology, surgery, cardiology, neurology, and emergency medicine.
Some of the lecturers on the programme:
- Prof Edward Lawrence
- Dr Alanna Stanley
- Dr Micheál Newell
- Prof Diane Bergin
- Dr Marie Staunton
- Dr Catherine Glynn
- Dr John Bruzzi
- Dr Joesph Murphy
- Dr Ian Davidson
- Dr Aideen Larke
- Dr Gerard O'Sullivan
- Dr Sinead Walsh
How will I learn?
This MSc and PG. Dip is designed with flexibility in mind, allowing you to balance other commitments with postgraduate study.
- Blended learning model – a combination of live online lectures, interactive discussions, and self-directed study.
- On-campus sessions – two short but intensive sessions in Galway, offering opportunities for collaboration, networking, and deeper engagement with faculty.
- Expert teaching – learn directly from practising clinicians across multiple specialties and leading academics in radiology and imaging sciences.
- Cutting-edge content – access the latest thinking in radiology, including AI in imaging, advanced diagnostics, and interventional techniques.
- Research integration – develop critical appraisal and research skills to apply evidence-based radiology in clinical practice.
How Will I Be Assessed?
Throughout the programme, your progress is assessed through various coursework and exams, including reports, essays, presentations, and computer assignments.
The academic responsible for teaching a module will, together with the programme director, be responsible for the preparation and administration of the module assessments. Assessment techniques will vary, depending on the module. For most modules assessment will consist of:
- Continuous Assessment - problem based assignments, peer reviews, written assignments, presentations.
- Examinations - Written exams take place before Christmas and in May consisting of multiple-choice questions/short answer/identifying structures on radiological images.
For general queries:
Radiology@universityofgalway.ie
Programme Director(s):
Prof Edward Lawrence
E: Edward.Lawrence@universityofgalway.ie
Dr Alanna Stanley
E: Alanna.Stanley@universityofgalway.ie
Accreditations & Awards
Meet our Employers
Entry Requirements and Fees
Minimum Entry Requirements
Candidates must hold a primary degree in Medicine (MBBS) with a minimum of Second Class Honours degree, Grade 1 (NCQ level 8 or international equivalent). Professional experience is also considered. Interviews may apply.
Academic entry requirements standardised per country are available here.
English Language Entry Requirements
For applicants whose first language is not English, an English language proficiency of IELTS score of 6.5 is required (with no less than 6.5 in any one component) or equivalent.
More information on English language test equivalency are available here.
Supporting Documents
You will be required to provide supporting documentation as part of your application. You can check here what supporting documents are required for this course.
You can apply online to the University of Galway application portal here.
Please review the entry requirements set out in the section above.
You will be required to upload supporting documentation to your application electronically. See the section above on entry requirements for further information on the supporting documentation required for this course.
Closing Dates
For this programme, there is no specific closing date for receipt of applications. Applications will be accepted on a rolling basis and course quotes will be reviewed continuously throughout the application cycle.
Notes
- You will need an active email account to use the website and you'll be guided through the system, step by step, until you complete the online form.
- Browse the FAQ's section for further guidance.
Fees for Academic Year 2026/27
| Course Type | Year | EU Tuition | Student Contribution | Non-EU Tuition | Levy | Total Fee | Total EU Fee | Total Non-EU Fee |
|---|---|---|---|---|---|---|---|---|
| Masters Full Time | 1 | €9,400 | €18,800 | €140 | €9,540 | €18,940 | ||
| Masters Part Time | 1 | €4,850 | €9,400 | €105 | €4,955 | €9,505 | ||
| PG Diploma Full Time | 1 | €6,350 | €12,700 | €140 | €6,490 | €12,840 | ||
| PG Diploma Part Time | 1 | €3,300 | €105 | €3,405 |
For 26/27 entrants, where the course duration is greater than 1 year, there is an inflationary increase approved of 1.8% per annum for continuing years fees.
Postgraduate students in receipt of a SUSI grant – please note an F4 grant is where SUSI will pay €4,500 towards your tuition (2026/27). You will be liable for the remainder of the total fee. A P1 grant is where SUSI will pay tuition up to a maximum of €6,270. SUSI will not cover the student levy of €140.
Note to non-EU students: learn about the 24-month Stayback Visa here.
Postgraduate Excellence Scholarships
This scholarship is valued at €1,500 for EU students applying for full-time taught master's postgraduate courses. You will be eligible if:
- You have been accepted to a full-time taught master's course at University of Galway,
- You have attained a first class honours (or equivalent) in a Level 8 primary degree.
An application for the scholarship scheme is required (separate to the application for a place on the programme). The application portal for 2025 is now open and available here. Applications will close on the 30th September 2025. Full details available here.
Global Scholarships
University of Galway offers a range of merit-based scholarships to students from a number of countries outside of the EU. Visit here for schemes currently available.
Application Process
Students applying for full time postgraduate programmes from outside of the European Union (EU), You can apply online to the University of Galway application portal here.
Our application portal opens on the 1st October each year for entry the following September.
Further Information
Please visit the postgraduate admissions webpage for further information on closing dates, documentation requirements, application fees and the application process.
Why University of Galway?
World renowned research led university nestled in the vibrant heart of Galway city on Ireland's scenic West Coast.
Downloads
Meet Our Alumni
Course Introduction
Enhancing clinicians’ expertise in radiological sciences
The MSc/PG. Dip in Multidisciplinary Radiology strengthens clinical decision-making, broadens radiological knowledge, and develops research capabilities. With a multidisciplinary approach and a blend of live online teaching, self-directed study, and short on-campus sessions, the programme offers flexibility and academic rigor.









